As noted in a previous post, “The thyroid gland is a butterfly shaped endocrine gland located in the neck below the Adam’s apple and in front of the windpipe It consists of right and left thyroid lobes joined together by a narrow strip of thyroid tissue called the isthmus.
Thyroid cancer is a disease in which malignant) cells divide, and multiply without control in thyroid tissue. The cancer cells can invade nearby tissues, or invade other parts of the body through the blood, and lymph system.”
Risk Factors
Women are three times more likely to develop thyroid cancer. Being exposed to radiation therapy for the treatment of other head and neck cancers places a person at a greater risk to develop thyroid cancer. Certain hereditary/genetic factors, as suspected in medullary thyroid cancer, increases the likelihood to develop this cancer. Also, the body need the mineral iodine, found in certain foods, to make thyroid hormone. Low levels of iodine have been correlated with thyroid cancers
Symptoms
In the early stages of the disease there may be no indication of a problem. The person is asymptomatic. As the cancer grows, he/she may notice a painless swelling, or a lump (thyroid nodule) in the region of the thyroid. There may be complaints of discomfort in the neck or throat, trouble swallowing or a change in the voice, hoarseness.
Causes of Thyroid Cancer
Exposure to high doses of radiation genetic factors, obesity, lack of iodine in the diet have been linked to changes in a person’s DNA, and implicated in causing thyroid cancer.
Diagnosis
Patients usually tell their doctor they noticed a painless swelling in front of the neck. The physician performs a head, and neck examination, and often identifies a solitary growth (nodule) involving one side of the thyroid.
The doctor may order blood tests to check for abnormal thyroid hormones, and imaging studies. One of the first image study to be ordered is an ultrasound of the thyroid gland to help identify any growths in the thyroid gland. Using this information, your doctor may make arrangements to have a tissue diagnosis of the nodule.
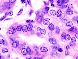
Most thyroid nodules are non-cancerous. If the nodule is greater than one centimeter in size, a biopsy can be obtained with a fine needle aspiration under local anesthesia. The tissue specimen is examined by a cytopathologist, that is, by a doctor who uses a microscope to look at cells for cancer, and other diseases.
The cytopathologist may report that the tissue specimen is definitely cancerous, or definitely benign (non-cancerous). In some cases, it’s necessary to perform a surgical biopsy by removing the growth with a part of the thyroid gland to obtain a definitive diagnosis.
Treatment
In the final analysis, your treatment is determined by the type of thyroid cancer, and the stage of the cancer, meaning, the extent to which the cancer has grown, and spread to other parts of the body.
Surgery is often used to remove the cancerous tissue and some of the surrounding tissue in the thyroid gland. In some cases, the entire thyroid gland may need to be removed, as well as lymph nodes in the neck. Radioactive iodine therapy involves taking a pill or liquid that contains radioactive iodine, which is absorbed by the thyroid gland and helps to destroy any remaining cancerous tissue
Another treatment option is radiation therapy which involves using high-energy X-rays to destroy any remaining cancer cells that may have spread to lymph nodes in the neck, or other parts of the body such as the lungs and liver. Chemotherapy (chemo) uses drugs to kill cancer cells, and they are seldom helpful in most types of thyroid cancers
Thyroid cancer is the most common endocrine cancer occurring most often in people over the age of forty. In the majority of the cases. thyroid surgery is recommended, and used to remove a substantial part of the thyroid gland with the cancer. The good news is that the prognosis for most thyroid cancer patients is excellent.
Postoperatively, these patients require lifetime thyroid replacement therapy. It’s worthwhile to consult with a thyroid surgeon, and endocrinologist with special interest in thyroid diseases, and cancer.
Reference
- Joseph R. Anticaglia, MD; Thyroid Gland What Is It? What Does It Do? The Pituitary—Thyroid Connection; Doctor’s Column HC Smart February 2023
- Paul A. Fitzgerald, MD; Thyroid Cancers; Current Diagnosis and Treatment. 2018
- American Cancer Society; What Is Thyroid Cancer? March 14, 2019
- CDC; Thyroid Cancer; March 8, 2021
- Cleveland Clinic, Thyroid Gland 10/24/2022.
- Fany Moreno et al; Anaplastic thyroid carcinoma with unusual long term survival; BMC February I, 2022
Glossary
Cancer is a diseases caused by abnormal cells which divide uncontrollably. The cancer cells can invade nearby tissues, or metastasize, spread to other parts of the body via blood and lymph systems.
Papillary cancer, also called papillary carcinomas or papillary adenocarcinomas.
Follicular cancer, also called follicular carcinoma or follicular adenocarcinoma.
Anaplastic thyroid cancer, also called poorly differentiated, or undifferentiated, is an aggressive cancer.
C cells are parafollicular cells that make the hormone calcitonin.
Lymphocytes are immune system white blood cells found less commonly in the thyroid gland.
This article is intended solely as a learning experience. Please consult your physician for diagnostic and treatment options.
